Le brossage des dents du haut et des dents du bas doit se faire séparément. Nettoyez successivement les faces des dents côté joue, côté langue et les faces du dessus.
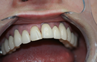
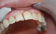
Cas cliniques
Le Dr GUERRIER à Gien est qualifié en chirurgie dentaire vous accompagne pour obtenir une bonne santé bucco-dentaire durable ainsi qu’un sourire radieux.
Le Dr Thierry GUERRIER, dentiste à Pouilly-sur-Loire, vous accompagne pour retrouver et entretenir une bonne hygiène dentaire, recevoir des soins qui vous sont parfaitement adaptés.
Vous déménagez ? Vous venez d'arriver dans une nouvelle ville ? C'est le début d'une nouvelle aventure. Vous devez trouver votre nouvel épicier, un nouveau boulanger, mais aussi un nouveau dentiste...
Pour la protection sanitaire des patients, du personnel et de l'environnement, l'organisation au quotidien du cabinet répond à de strictes règles d’hygiène.
La brosse à dents électrique permet d’obtenir un nettoyage bucco-dentaire approfondi. Son action lutte efficacement contre les bactéries à l'origine de la plaque dentaire et réduit les risques de gingivite à court et long terme.
Vous souhaitez avoir une bouche ultra-propre. Très bien. Mais du coup, vous risquez d’user et d’abuser des bains de bouche. Cela n’est pas forcément une bonne idée...
Le brossage seul ne permet d’éliminer que 50% de la plaque dentaire. Il est donc indispensable de compléter son action par des brossettes ou du fil dentaire.
L’utilisation du fluor, par voie générale et en application locale, reste la méthode la plus efficace pour prévenir les caries et préserver la santé bucco-dentaire.
Dès l’éruption des premières dents, l’enfant peut apprendre à se brosser les dents pour adopter les bons réflexes. L'objectif est de l’habituer à se brosser les dents deux fois par jour. A partir de 6 ans, il faut en outre veiller à ce que l'enfant nettoie bien ses premières molaires définitives.
La gamme de dentifrices proposée en pharmacie et en supermarché est très vaste. Voici quelques conseils pour vous y retrouver.
Que l’on utilise une brosse à dents manuelle ou électrique, l’objectif est le même : éliminer efficacement la plaque dentaire. La santé de vos dents en dépend.
Vos choix alimentaires influent directement sur votre état de santé dentaire. Voici quelques règles simples d’hygiène alimentaire pour préserver la santé de vos dents.
La bouche joue un rôle important dans notre santé globale. Il est donc nécessaire de maintenir une bonne hygiène bucco-dentaire en se dotant, dès le plus jeune âge, d'un comportement adéquat.
L’élimination de la plaque dentaire permet d'éviter les caries et les problèmes parodontaux. Des règles simples permettent d’assurer une bonne hygiène bucco-dentaire.
La Radio panoramique du Dr Guerrier
Le Cone Beam du Docteur Guerrier
Chaque cas est unique nous essayons toujours de privilégier la meilleure solution pour le patient, d'abord d'un point de vue thérapeutique mais aussi d'un point de vue financier.
Ces cas cliniques sont une illustration pédagogique de traitements odontologiques. Leur objectif est de mettre en image des soins dentaires pour une meilleure compréhension de ceux-ci.
Ces cas cliniques sont une illustration pédagogique de traitements odontologiques. Leur objectif est de mettre en image des soins dentaires pour une meilleure compréhension de ceux-ci.
Ces cas cliniques sont une illustration pédagogique de traitements odontologiques. Leur objectif est de mettre en image des soins dentaires pour une meilleure compréhension de ceux-ci.
Ces cas cliniques sont une illustration pédagogique de traitements odontologiques. Leur objectif est de mettre en image des soins dentaires pour une meilleure compréhension de ceux-ci.
Ces cas cliniques sont une illustration pédagogique de traitements odontologiques. Leur objectif est de mettre en image des soins dentaires pour une meilleure compréhension de ceux-ci.
























