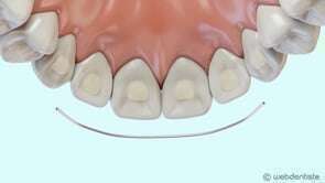
Les traitements orthodontiques pour adultes
Articles similaires
- Cas cliniques (5)
- Chirurgie buccale (1)
- Divers (15)
- Informations pratiques (7)
- L'endodontie (1)
- L'équipement du cabinet dentaire (6)
- L'orthodontie (48)
- Les choix esthétiques (13)
- Les dents chez l'adulte (6)
- Les dents de l’enfance à l’adolescence (14)
- Les dents et la santé (26)
- Les gencives (33)
- Les implants (35)
- Les pathologies bucco-dentaires (35)
- Les prothèses (54)
- Omnipratique (259)
- Publications (1)